Back To Normal
blackandwhiteshowercuprice
Home
Products
Services
About
Contact
Click Here To Subscribe Via Email
Subscribe To Our E-Mail Newsletter
Full arch dental implantations via digital surgical guide and bone grafting via VISTA technique
Couch Mode
Print It
PreOP
Digital Surgical Guide w anchor pins
Reducing horizontal movement w Implant Mount
collection of Auto graft
Bone grafting via VISTA
Teruplugs insertion of implant holes
1 wk' healing
2 wks' healing
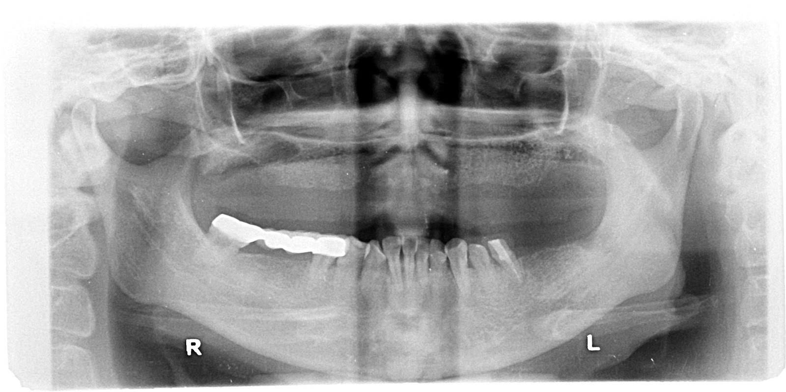
Post implant Panoramic X-ray
post implant 4 Mo
Click Here For Smileys :D
:D
:)
:[
;)
:D
:O
(6)
(A)
:'(
:|
:o)
8)
(K)
(M)
Tidak ada komentar:
Posting Komentar
Langganan:
Posting Komentar (Atom)
Tidak ada komentar:
Posting Komentar