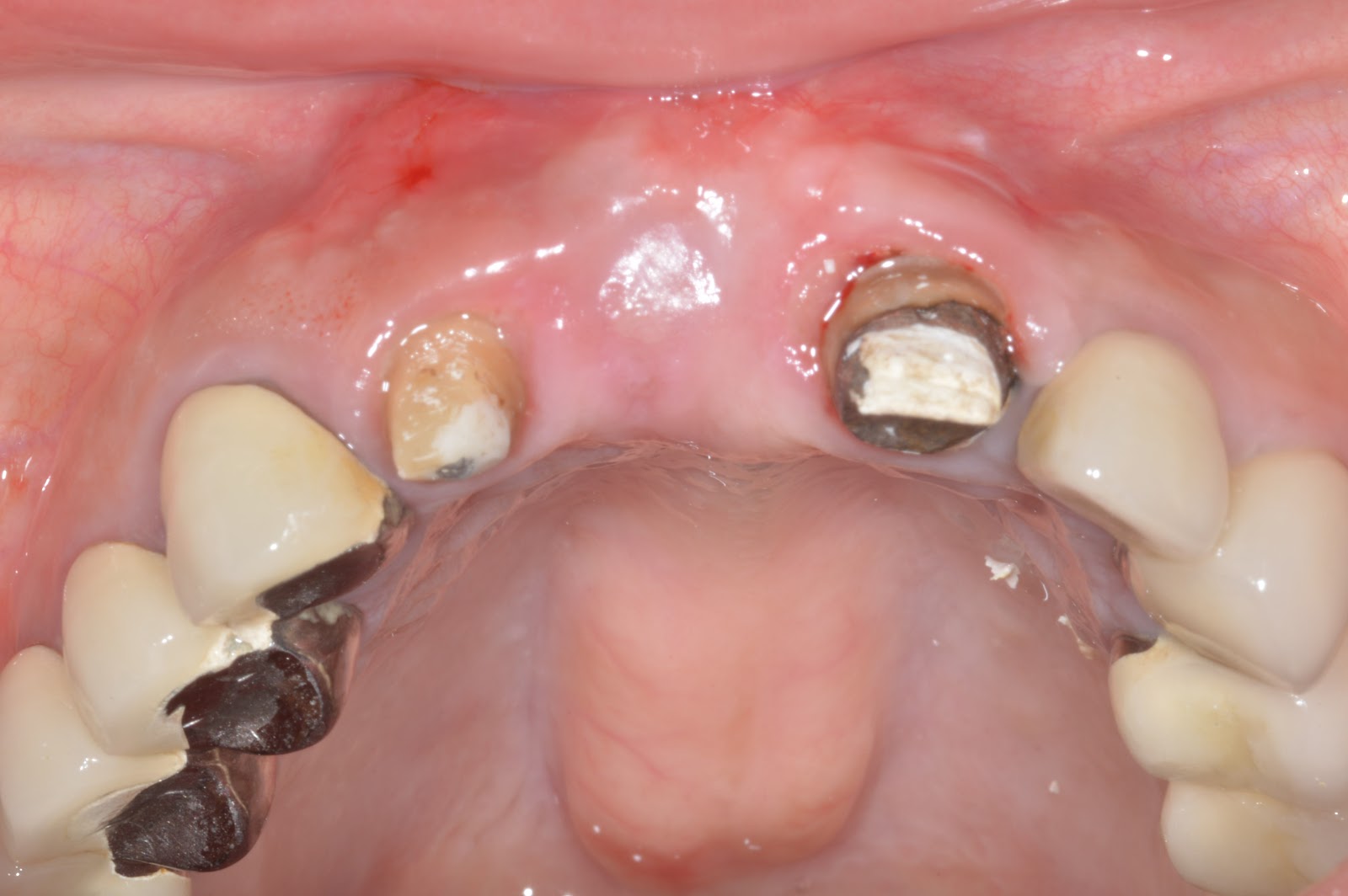
A severely ridge defect (H+V) after 3 times GBR/Soft tissue graft/Implant surgeries
A rescued surgery for soft/hard augmentations via VISTA technique
CT graft harvested from tuberosity
Sutures helped inserting CT graft into defect zone
postOP
post OP 10 days
postSx 2 wks
postSx 6wks
4 wks later
8 wks later
rotated flap for buccal mucosa thickening
Provisional restorations











